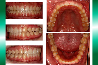
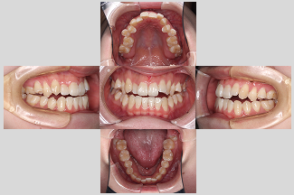
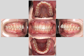
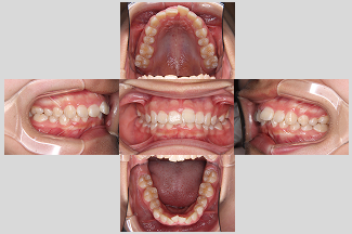
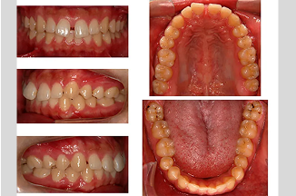
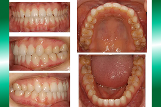
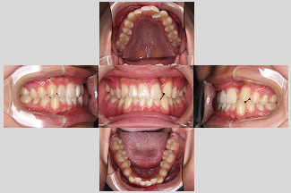
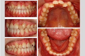
Before/Afterで”変化がわかる”歯並び改善例

患者様の声

あなたの歯並びはどのタイプ?

変化を実感!矯正後の写真

動画で解説

動画で解説

動画で解説

拡大して
見る